
Made of out of zirconia
Full Arch Option. Includes IV sedation, tooth removal, implants, abutments, temporary fixed/nonremovable teeth and permanent final zirconia teeth.

Full Arch Option. Includes IV sedation, tooth removal, 4 implants, abutments, temporary removable denture and final snap-in denture.

Includes single implant placement, final abutment, and crown.
Our practice accepts most major insurance plans. Our team is knowledgeable about dental insurance, too, so we’re happy to file and track your claims for you to ensure that you’re getting the most out of your benefits. We just ask that you bring your insurance card to each appointment, so we can make sure your information is as up-to-date as possible.

We accept most major insurance companies including Metlife, Cigna, Aetna, and Principal. We also accept cash, checks, MasterCard, Visa, AMEX, Discover, and HSAs.

Our dental savings plan can save you, and your family, money on all your dental care needs at one low annual or monthly cost depending on what fits your budget best.

We offer a third-party payment option through Proceed Finance, and Compassionate Finance to help you cover the cost of dental procedures at a low-interest rate.
We Do This Almost EVERYDAY In Our Office.
Click HERE to see our weekly patient story
Our EXPERIENCE and METHOD give our patients faster RECOVERY time.
We custom made all the teeth for each Patient.
No RETRO-FITTING is needed.
Click HERE to see the differenece.

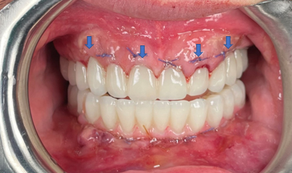
Match to Existing Natural Gum Tissue
Minimal Invasive Surgery

Counter-Top Teeth
Bulky Teeth
We treat patients when other providers cannot manage.


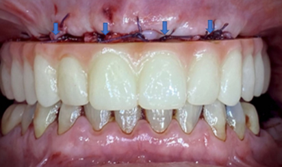
Match to Existing Natural Gum Tissue
Minimal Invasive Surgery


Counter-Top Teeth
Bulky Teeth

Dr. Paul Han, DMD is a general dentist here at Centreville Family and Cosmetic Dentistry. He grew up in Columbia, South Carolina. He attended the JB Edwards College of Dental Medicine at the Medical University of South Carolina.
Dr. Paul Han is knowledgeable and skillful in many dental areas from preventative to cosmetic procedures.
In this free time, he also enjoys the occasional round of golf.
There are many practices out there that will offer you similar services, but it is often difficult to choose which practice to trust with your dental health. In my opinion, the best way to differentiate between them is to ask your doctor the right questions. The following Q & A helps illustrate how our practice differs from the rest.
IS YOUR DENTIST WELL TRAINED?
Giving you back beautiful teeth in one day is not an everyday procedure; it requires years of surgical training. A weekend surgical course here and there won't provide your dentist with enough clinical exposure. Complications such as sinus exposure, nerve injury, and infection may arise during the course of treatment, and if they do, you want your doctor to have the experience to manage these issues.
HOW OFTEN DOES YOUR DENTIST PERFORM THE PROCEDURE YOU NEED?
Like everything else, to perform surgical procedures well, dental surgeons need to perform procedures on a regular basis. This is what we do every day at our oral and facial surgery practice; you won't see us doing dental cleanings, filings, or root canal therapy. Thus, we are excellent at our job.
HOW DOES YOUR SURGEON UTILIZE AVAILABLE TECHNOLOGY?
When you are selecting a surgeon, many will show you an array of equipment to which they have access. However, if they don't know how to utilize the equipment at its full potential, it can be distracting. Many high-tech gadgets are not needed for dental surgery and do not necessarily improve patient's outcomes. In our office, we utilize 3D X-rays to not only evaluate the condition of the jaw but also extrapolate the data to fabricate a surgical guide with our 3-D printer. When a computer-generated surgical guide is used in appropriate situations, it improves the patient's outcome and decreases the time required for surgery and recovery. It is practical knowledge about the equipment that makes your surgeon great—choose the person, not the tool!
DOES THE SURGEON HAVE ANY BEFORE AND AFTER SURGERY PICTURES TO SHOW YOU?
A competent surgeon will be willing to show you the results of previous surgeries. These pictures should reflect both the best cases and average results. Your surgeon should be able to provide multiple references to patients that have had similar procedures and are willing to discuss the surgery, recovery, and experience with the practice. We can refer you to a number of satisfied patients.
CAN YOUR DOCTOR SEE YOU QUICKLY WHEN COMPLICATIONS ARISE?
Some offices will hire a traveling oral surgeon to perform surgery. These surgeons will come to the practice once a week or month, and many of them are located far away from the practice. You may meet the surgeon briefly if not at all before the surgery, and your after-surgery care will be delegated to non-surgical dentists or office staff. Ask your surgeon, is this his primary practice? If so, when complications arise, is he readily available to answer your questions and manage your after-surgery care- not next week or month, but NOW!
IS YOUR SURGEON PERSONABLE AND CARING, AND WILL HE OR SHE LISTEN TO WHAT YOU WANT AND BE THERE FOR YOU THROUGHOUT THE ENTIRE SURGICAL EXPERIENCE?
Although the procedure gives you back your smile instantly, the recovery and overall treatment process can take months. It's important to select a surgeon who is involved in your care from the very first appointment; you want to feel special, not as a number in a long list of patients. In addition to being accessible, your surgeon should be personable and caring. Many surgeons are egoistical because they have more letters after their names which can be intimidating. At our practice, we believe that being down-to-earth helps ease patients’ anxiety and allows them to ask the right questions.











1. Our focus on a select range of services. While most dental offices provide root canals, fillings, and crowns, our practice focuses exclusively on dental implants, extractions, and dentures.
2. Our on-site dental lab and lab technicians. These allow us to provide a more personal touch, reduce costs, and provide your service quickly.
3. Our passion for dental implants. Our doctors’ enthusiasm for this life-changing area of dentistry has taken them on an intensive implant journey. We have a passion for restoring patient’s smiles with implants and dentures. Our doctors stay up to date with the latest implant education in order to offer patients the very best treatments available.
Great dentist. Superb care. The staff is great from one end of the office to the other. They all work hard and together to focus on my health and I really appreciate that. Also they are infinitely patient with my unreasonable anxiety over dental work and really help to ease my distress. Highly recommend!
- Maureen W
I have been very satisfied with Dr. Han and his staff. They are all very friendly, professional, and quick to answer any questions regarding procedures, bills, as well as making suggestions of how to keep my teeth healthy. I appreciate how up-to-date the office is with technology and practice. I have a fear of dental work and have found Fatine and Dr. Han to be very patient and respectful of my anxiety. Which is great because I have had a lot of work done recently and am happy with my results. I would definitely recommend this practice.
- Alicia S
Everyone at the office from the front desk, dental hygienists, to Dr. Han are all very professional, warm, and thorough. After being a patient of Dr Jones for several years I was concerned with having a new dentist. Dr. Han has successfully provided quality service with a crown replacement, tooth extraction and implant placement. I was pleasantly surprised I could get all of this from one office. Great dental experience! I highly recommend!
- Linda B
Great experience! Love the staff! Made me feel comfortable and they did a great job with my dental implant. They also did a great job communicating my benefits and informing me on how much the procedure would cost before doing it. Highly reccommend!
-Robert C
I feel totally at ease with the services provided at Wicker Park Dental Group. Dr Gopisetty is caring and meticulous and leaves me feeling confident that I am in very good hands. He was very open about my dental implant explaining the procedure and pricing which all went according to plan leaving me with a really strong new tooth. This dental practice isn't the newest on the block, but there is good reason why they have been around for a while.
-Peter B
Everyone at this office is very friendly, helpful and kind. I got some crowns done here and I am very happy with them. Also, when an old crown (that they did not install) fell off, they got me in the next day to fix it. Strongly recommend!
-Danielle B

Centreville Family and Cosmetic Dentistry I 14001 St Germain Dr Suite B, Centreville, VA 20121
(703) 215-3980

14001 St Germain Dr Suite B, Centreville, VA 20121