We focus exclusively on dental implants and dentures, so we’re able to provide the best service, in the least amount of time, at reasonable prices.
Non-removable. These DO NOT come in and out.
Best chewing capability. Provides the greatest chewing power so you can eat the foods you love.
Most natural full-arch teeth replacement option.
Requires the least amount of available bone. Great for people who have been told they don’t have enough bone for implants.









The All-On-4® procedure allows most patients to have their remaining teeth removed, implants placed, and a beautiful, fixed/non-removable smile delivered over the course of a single day.





This procedure involves removing any remaining teeth, placing 4-6 implants per arch, and attaching a low-profile bridge to those implants. The implants are often placed at special angles to avoid the patient’s sinuses. This also avoids the need for expensive bone grafts, which require long healing times.
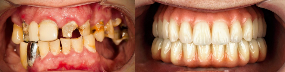
The traditional “All-On-4®” procedure involves four implants and acrylic denture teeth over a titanium frame. Our doctor has modified this procedure based on his experience and knowledge to provide an even better result for his patients! Centreville Family and Cosmetic Dentistry, we carefully analyze each and every case and base our treatment on the individual patient’s anatomy. Your doctor will place between four and six implants per arch and temporary fixed bridges will be placed while your implants integrate with your jawbones and your mouth heals. After your healing is complete, the doctor and lab technician will fabricate your final teeth, which will be fabricated from zirconia. Zirconia teeth are not only much stronger than traditional acrylic (plastic) denture teeth offered at most other dental offices, but they also give a more natural, life-like end result. In addition, zirconia teeth are more hygienic and resistant to staining. This means they will last longer and look better than the acrylic/titanium hybrid bridges you find at most other practices. Also, the teeth that your doctor designs are planned and milled digitally using the latest CAD/CAM technology, so there will always be a saved file of your teeth if they ever need to be replaced.
Upper or lower (single arch)
$21,000
Monthly Payments as Low as $400/mo
This includes IV Sedation, tooth removal, implants, abutments, temporary fixed/non-removable teeth and permanent final zirconia teeth.
Our practice accepts most major insurance plans. Our team is knowledgeable about dental insurance, too, so we’re happy to file and track your claims for you to ensure that you’re getting the most out of your benefits. We just ask that you bring your insurance card to each appointment, so we can make sure your information is as up-to-date as possible.

We accept most major insurance companies including Metlife, Cigna, Aetna, and Principal. We also accept cash, checks, MasterCard, Visa, AMEX, Discover, and HSAs.

Our dental savings plan can save you, and your family, money on all your dental care needs at one low annual or monthly cost depending on what fits your budget best.

We offer a third-party payment option through Proceed Finance, and Compassionate Finance to help you cover the cost of dental procedures at a low-interest rate.
implants or dentures?
Most patients will be a candidate for this procedure, even those who have been told they don’t have enough bone for dental implants. Your doctor will use a combination of straight and angled implants to avoid the sinuses and engage the strongest bone. Using this technique usually removes the need for expensive and lengthy sinus augmentation bone grafts.
Your doctor will perform a thorough evaluation during your free consultation to see if All-On-4® is an option for you.
It all starts with a free consultation. We’ll take a 3D scan of your jaw and the doctor will examine your mouth to see if the All-On-4® procedure is right for you.

The procedure itself typically takes 4-6 hours depending on whether you are having a single arch treated (upper or lower) or both arches (full mouth). When you leave our office, your temporary bridge(s) will be securely attached to your new implants. You will wear your temporary bridge(s) for 4 months to allow time for your implants to integrate with your bone and for your jaws and gums to heal into a stable, long-term position before we fabricate your final bridge(s). Allowing this healing time ensures the closest possible fit for your final bridges. After this healing time, we will begin fabricating your final bridge(s). This involves a few appointments over a 5-6 week period, during which time you’ll help us design the smile you want for your permanent teeth.
When it comes to comparing these two services, there is really very little in common. The All-On-4® is superior to dentures in every way.

Perhaps the greatest advantage of this procedure is just how quickly patients are able to start enjoying their new smile. Most patients are able to have their new teeth attached to their implants and begin using them the same day they are placed. With most other dental implant procedures, patients are required to wait 6 months or more (sometimes more than a year) before they are able to use their implants. The All-On-4® dental implants procedure makes for the least amount of interruption in your life.

Yes! However, while your implants and teeth are securely placed from day one, we do ask that you maintain a soft diet during the 4 month healing period. What exactly does that mean? A good general rule is you can eat anything you can cut with a plastic fork. The reason for this is that you are investing in something that could last you many decades,
even the rest of your life, and maintaining a softer diet during the healing period will allow the best integration of your implants into your bone and help ensure the best long-term outcome.
This life-changing procedure was pioneered by Portuguese dentist Paolo Malo in the 1990s. Since then, this procedure has safely been performed on hundreds of thousands of patients and has been improved upon to what you see today.
Caring for your teeth is very easy, but consistency is key. Just like we’re supposed to brush and floss natural teeth, we should do the same with our All-On-4® teeth and implants. A few minutes a day is all it will take to keep your mouth and implants healthy. Brushing your bridges with a soft bristle tooth brush and cleaning under them with a water flosser (WaterPik is a very popular, well-known brand) a few times a day is all it takes.
Smoking can increase the risk of implant complications, so we recommend not smoking with dental implants. Diabetics should also be aware of an increased risk for complication with dental implants. Controlling your diabetes is very important for the long-term success of your implants.
Other than that, simply follow up with your doctor regularly throughout the year for quick evaluations of your new implant teeth.
While most offices still place outdated acrylic titanium hybrids for their final bridges/teeth, our office makes them out of zirconia. These are digitally designed and milled. This allows us to have a digital file of your teeth saved for the future in the rare case you did have a tooth fracture or wear down. If you choose another office, make sure you know what kind of teeth you will be getting. If you do get acrylic denture teeth with a titanium bar at another office, expect to have staining around your teeth and to replace them every 5-10 years. Also, make sure you know how much you are going to pay for the surgery, temporaries, and final teeth.
Many offices will charge you a surgery/temporary fee only for you to find you owe an additional $5,000-$15,000 for your final teeth.
The total cost ranges from $19,900 to $37,900, depending on whether you have a single arch treated (upper or lower jaw) or the full mouth. These prices include removing any remaining teeth, placing your implants, same day fixed temporary teeth, and your fixed permanent zirconia teeth. Many offices will charge a surgery fee, temporary fee, and then surprise you at the end with another fee for your final teeth. Our pricing is completely transparent, and we will not surprise you with any additional costs.
What is unique about this procedure, and what allows us to attach to your implants from day one, is that all of your implants will be rigidly splinted together by your new teeth (the implant bridge). Splinting them together prevents the micro-movement of the implants that can lead to failure early on. Basically, your implants and bridge all support each other.
Your dental implants will be made of titanium, the same material used in artificial hip and knee joints, so your jawbone will naturally grow around and attach to them over time.
The majority of patients that have been told they are not a candidates for dental implants are actually good candidates for the All-On-4® dental implants procedure. A combination of using angled implants and using the front of the jaw bone where the bone is more dense allows us to complete this procedure for many patients that thought it was not an option. We can usually perform this procedure without the need for expensive grafting that delays treatment by months or years. Please come see us for a complimentary consultation to see if you are a candidate.
Yes! This is our preferred way of doing this procedure with the best outcome. With the advanced implants and materials that we have available today, there is usually no reason to have to wait months or even years to go through the process like you had to do in the past.
Your new implant bridges will be a new sensation and will take a few days or sometimes a few weeks to get used to.
While there will be moderate pain, it is similar to the pain of dental extractions. We use a combination of medications to help control pain and keep our patients as comfortable as possible.
This will vary from patient to patient, but, overall, the recovery period is shorter and easier with this procedure compared to other full arch or full mouth replacement options. This is mainly thanks to the bridges being attached directly to your jaws via your implants. Traditional dentures and implant dentures both require healing periods during which time the dentures are able to move and cause sore spots. Your pain should subside for the most part within 1-2 weeks, with complete healing typically after 6 months.
Mini dental implants are not even related to what we do at Centreville Family and Cosmetic Dentistry for our All-On-4® dental implants procedure. Please proceed with caution at any office recommending mini dental implants as a permanent solution. They have a very high failure/complication rate.
Snap-in implant dentures are a good option for some patients. We also provide this service and have an entire page dedicated to these if you want to learn more. They can be a more affordable alternative to the All-On-4® dental implants procedure.
At Centreville Family and Cosmetic Dentistry, we have the same advantages of the corporate implant centers by limiting our practice to dental implants and prosthetics. We have an in-house lab, competitive pricing, and same day teeth. However, we are privately owned, and every patient will be seen by our doctor. We focus on the satisfaction of our patients instead of monthly quotas, cost cutting, and shareholders. At the corporate implant centers, there is no guarantee that you will be treated by the same dentist that has the great reviews or your friend recommended you see. Our doctor oversees your procedure from beginning to end and the team at Centreville Family and Cosmetic Dentistry will do everything to make sure you are happy with your smile and take care of you like family.
We limit our practice to dental implants and prosthetics. Dental implants and specifically teeth in a day is our passion, and we are constantly working to ensure our patients get the best results possible. Many offices will refer you to multiple providers, use outside labs, and have confusing pricing. They will take many months or even years to complete your procedure while charging you 50-100% more. Our doctor performs the procedure from surgery to final teeth, we have an in house lab and lab technician, and transparent, affordable pricing. By having all this under one roof, we are able to deliver the best service at the best price.
No, our doctor is a general dentist that limits his practice to dental implantology and prosthetics. He did a full year residency just focusing on dental implants and has limited his practice to implants and prosthetics since he began practicing. Dental implantology is his passion, and he places many more dental implants than most specialists and other general dentists. In a very select few cases, he does collaborate with other dental specialists to ensure that his patients get the best possible treatment for their specific situation.
Because of the high number of these procedures we perform and limiting our practice to very specific procedures, we have advantages that other offices do not have. We have our in-house lab and lab technician and highly-trained dentists that perform the entire procedure. Because of the efficiencies, we are able to offer these procedures for our patients at the most competitive pricing. Not only do we have the very competitive pricing, we also use the best quality implants and the best zirconia.
Yes. We offer a variety of payment options including third party financing. We work with our patients in any way possible to get them smiling again.
We warranty the final bridge for 7 years. If a dental implant fails to integrate we will replace it at no cost. To keep this warranty, our patients must return every 6 months for maintenance and hygiene of their bridges/implants. The warranty does not apply to patients that continue to smoke or have uncontrolled diabetes or develop other uncontrolled systemic conditions that compromise their implants.
Usually the surgery takes about 1.5 hours per arch. Then, the lab portion of making the teeth takes about 2 hours. If we start in the morning, for a single upper or lower arch patients are usually done around lunch time. If we are replacing both top and bottom teeth, we usually finish around 2:30 to 3:30 in the afternoon. Most of this time is waiting for the teeth to be made in our lab and trying them in to ensure your smile is just right. It is a long day, but will definitely be worth it in the end!
We see many patients that currently have dentures they are unhappy with. They are usually great candidates for the All-On-4® dental implants procedure.
We do everything possible to ensure you love your new smile. The teeth you get the same day of surgery are only a temporary/transitional set. When we fabricate your final teeth, you will have full control of the design and appearance of your teeth.
For most cases, we make the final teeth out of zirconia. They are much stronger and more resistant to staining and wear than traditional acrylic All-On-4® teeth that many offices provide. These are digitally designed and milled. This allows us to have a digital file of your teeth saved for the future if in the rare case you did have a tooth fracture or wear down. If you choose another office, make sure you know what kind of teeth you will be getting. If you do get acrylic denture teeth with a titanium bar at another office, expect to have staining around your teeth and to replace them every 5-10 years. Also, make sure you know how much you are going to pay for the surgery, temporaries, and final teeth. Many offices will charge you a surgery/temporary fee only for you to find you owe an additional $5,000-$15,000 for your final teeth.
While this is a good service for many patients, in the rare case of complications or teeth breaking, it is very difficult to deal with if you traveled thousands of miles away or even out of the country. Most local offices will not be willing to fix these out of town offices work. A major advantage of having a transitional set of fixed teeth on the day of your surgery is you get to test them out and see what you like/don’t like. For the final zirconia teeth, we have you in for try-ins to ensure that your teeth look exactly like you want them to. While it’s great to get your final teeth immediately, it does come with some serious downsides that cannot be overlooked.
You should come in every 6 months to have your teeth/implants checked and cleaned. This will help ensure the longevity of your new teeth and implants.
While experiences will vary some, you should expect some discomfort and possibly swelling after your procedure. Many patients come in the next day for their post op appointment reporting very little discomfort. You will be prescribed pain medication to help alleviate any discomfort. Also, if you’re a candidate for it, the doctor will give you a steroid shot which will help with discomfort and swelling for the first few days.
While titanium dental implants do have a 95+% success rate, yes, they can still fail. Some of the things that can cause them to fail:
failure to integrate into the bone
smoking
diabetes
If an implant fails within the first year, your dentist will replace it at no charge to you.
This is completely normal when you first have a prosthesis placed in your mouth. Your body senses it as a foreign object and is trying to “flush” it out. This increased salivation should subside within 2-3 days.
We do not currently put patients to sleep, however, we do offer oral conscious sedation. This medication will help to relax you and often makes it so you don’t even remember your procedure. For this, we write you a prescription, and you can pick it up at your pharmacy of choice. NOTE: You MUST have a driver for this procedure, someone who can drive you after you have taken your oral sedation pill(s). You MUST NOT operate a motor vehicle or any machinery after taking your medication.
Most cases will be attached immediately. In certain situation, mostly dependent on your bone quality and quantity, we will not be able to attach your bridge(s) the same day and you will need to wear a temporary healing denture while your implants integrate into the bone. Your doctor go over this in-depth at your evaluation.
Significant bleeding will have stopped before you leave the clinic, however, expect to have some slight bleeding (oozing) for 1-3 days after the procedure. In addition, you will most likely notice increased salivation when we first put your temporary teeth in. When this increased saliva mixes with a little blood, it can look like a lot of blood. If heavy bleeding continues, please call the office.
Just as you would need practice in order to get used to functioning with a prosthetic leg, it will require some practice and patience to get used to your prosthetic teeth. With that being said, since they are rigidly anchored to your jaw, All-On-4® teeth will be the easiest to get used to of all the full-arch replacement options.
Again, this will take a little time, but with some patience and practice, your mouth and tongue will quickly adjust. S’s will be the toughest to pronounce. Practicing words like “Mississippi” and “sixty six” will help you get used to your new teeth. In some cases, patients may have a slight lisp long term with All-On-4® upper teeth.
Patients should wait 6 weeks after their procedure before they begin cleaning with a water flosser.
No, they are rigidly attached to your implants, which are firmly anchored in your jaw. If your All-On-4® teeth begin rocking for any reason, call us so we can bring you in for an evaluation.
It is referred to as teeth in a day because you are receiving a set of implant-supported functional prosthetic temporary teeth in one day. Since there are often major changes in your mouth during the healing and implant integration phase, it is best to start with a temporary set up teeth. This ensures the best long-term outcome with your permanent teeth.
Yes, your temporary teeth are made of acrylic and can chip, crack, and occasionally break. This is very common. The great thing about the acrylic temporary is that it can easily be repaired. If you have any issues with your temporary, just give us a call and we’ll get you fixed up right away.
While it is possible for zirconia to be damaged, it’s extremely uncommon. Zirconia is among the strongest and most durable materials available in the dental world.
Unfortunately, not. Since your existing implants will not be the correct position that this procedure requires, and since bone reduction will need to be performed, we can not use your existing implants and they will most likely need to be removed.
No, you can not remove these yourself. Only the dentist is able to remove them. They are secured to your implants.
Yes, any prosthetic in the mouth will get some amount of food under it. You can rinse with water to get food out from under your bridge(s), and cleaning every day with a water flosser will be part of your long-term hygiene regimen.
How long should I take off work for recovery after my procedure?
Of all full arch replacement options, All-On-4® tends to have the shortest time required before returning to work. Generally 4-7 days is sufficient. With that said, since there is always the chance of bruising and swelling, and you’ll need to get used to eating and speaking with your new teeth, the longer you can take off, the better.
I feel like I’m too young for this procedure?
No, this is not just a procedure for the elderly. It’s actually quite common for people in their 40s, 30, even 20s to need to replace their teeth. Replacing bad teeth can be hugely beneficial to your overall physical health, and being able to smile, laugh, and converse confidently with teeth you’re proud of can be hugely beneficial to your emotional health. Again, needing to replace teeth early in life is not uncommon at all.
ice packs
wash cloths you don’t mind throwing away
comfortable clothes you don’t mind throwing away
soft foods (a good rule is you can eat anything you can cut with a fork)
Most insurances will pay toward your treatment at Centreville Family and Cosmetic Dentistry. These are just a few of the insurance companies we work with:
Aetna
Careington Discount Plan
CareingtonPlatinum
Cigna
DHA
Delta Dental
Guardian
Humana
MetLife
Principal
Unicare
United Concordia
United Healthcare
If you don’t see your insurance, don’t worry. Give us a call and we’ll be glad verify your policy and see what we can do to maximize your coverage at our office.
Medicare itself does not cover dental implants or any other dental services; however, there are certain supplemental Medicare Advantage plans that do provide coverage for dental implant services. When choosing a supplemental Medicare Advantage plan, you’ll want to make sure that the plan provides coverage for dental implant services and that it’s a plan that allows you to choose which dental office you go to. Some plans have extremely small networks, which limit where you’re able to utilize your benefits.
The total time start-to-finish is typically 5-6 months. The breakdown of appointments is as follows:
Impressions of your mouth - The lab uses these to make your temporary implant bridge(s).
Possible wax try-in - if you are missing all or most of the teeth in the arch that we will be treating, the doctor may suggest a wax try-in. This is a mock up of what your temporary implant bridge and will be used to check bite position, aesthetics, etc.
Procedure - Remove any teeth (if applicable), place implants, place temporary implant bridge(s). The procedure typically takes anywhere from 4-7 hours.
Post op #1 - Day after procedure - Check healing and answer any questions you may have.
Post op #2 - 3 weeks after procedure - Remove sutures, check healing, patient typically cleared to begin using water flosser/WaterPik at this appointment.
Impressions for final teeth - 4 months after procedure
Try in - 5-10 days after impressions - We will try in a mock-up of your final teeth. Multiple wax try-ins are needed in some cases. We have to make sure you are completely happy with your wax try-ins before processing them. Once they are processed, we are unable to make changes to them. If you wish to make changes to your bridge(s) after you have approved them and they have been fabricated, there will be a full-cost remake charge.
Seat final teeth – After you approve your wax try-in(s), it typically takes 4-6 weeks before your bridge or bridges are ready to seat.
Things to be aware of with the All-On-4 procedure
How many implants will I get? The doctor will place between 4 and 6 implants per arch. The number of implants placed will depend on several factors:
jawbone height and thickness
quality of bone throughout jaw
position of nerves, sinuses, and other physical features
the amount of space that will be between implants
More implants is not always better.
How many teeth will my implant bridges have? There are typically 12 teeth on All-On-4 bridges. Sometimes it can be more, sometimes it can be less. This is largely dictated by how far back we are able to place implants. Again, physical features like nerves and sinuses determine where we are able to place implants.
Temporary bridges can break. The materials used to make temporary bridges are not as strong as the permanent bridges, so they can sometimes break. When this happens, repairs are easy and typically very quick, but we do want patients to be aware of the possibility of breakage. Final bridges are much stronger and we typically don’t experience breakages with them.
Not attaching bridges to implants the same day they are placed. In some cases, we are unable to attach your temporary implant bridge(s) to your implants the day they are placed. This is extremely rare, but it is something we want patients to be aware of. If this does happen, we will attach your bridge(s) to your implants as soon as possible.
*Disclaimer regarding your temporary implant bridge(s) being “securely attached to your implants from day one” - In most cases, we are able to attach your bridge(s) to your implants the same day. This requires that we achieve sufficient stability when placing your implants. In rare instances, often to due poor bone density, we are not able to achieve sufficient torque and, therefore, can not attach the bridge(s) to the implants immediately. In these situations, you will be provided with a temporary denture to wear while your implants integrate with your bone. After sufficient integration, we will attach your bridge(s) to your implants.
*Disclaimer regarding no gagging with All-On-4® dental implants - The implant bridge is a low-profile “horseshoe” design and does not cover the roof of the mouth, so most patients will not gag with this type of bridge. There is always the rare chance that a patient with an extreme gag reflex could have some gagging with this type of full-arch implant bridge.
Centreville Family and Cosmetic Dentistry I 14001 St Germain Dr Suite B, Centreville, VA 20121
(703) 215-3980

14001 St Germain Dr Suite B, Centreville, VA 20121